Services






Treatment Procedures



SILVER FILLING

Has good strength, but amalgam poisoning ,dark grey color and secondary tooth damage is possible.


NANO GLASSIONOMER FILLING


Nano glassionomer filling has good strength,exactly tooth color, sticks to the teeth, and secondary tooth damage is not possible.

ROOT CANAL TREATMENT

If the tooth gets deep cavity and involves the pulp tissue inside , root canal treatment is advisable. It’s a specialised treatment in which the pulp tissue is removed , cleaned and filling is done inside the tooth.

COMPOSITE FILLING

Fracture teeth can be treated with composite filling or crown.

SCALING

It is the treatment in which the tartar is removed with latest scaling equipment.this tartar [calculus] causes gum irritation, gum swelling, gum bleeding, bad breath ,bone loss ,teeth pain and mobility. So scaling treatment is compulsory for atleast once in a year for every individual.

TOOTH REPLACEMENTS

Modern treatment of teeth replacement are crown and bridge, and implants

a. Crown and bridge

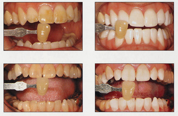
For replacing a missing tooth ,we have to cut the adjacent tooth and put crown to replace the missing tooth. It may be done with metal alloys, metal with ceramic or full ceramic. Full ceramic crown is the best replacement for the crown since it has no wear & tear and the colour of the tooth exactly matches the other tooth. We can create staining and carving on ceramic crown if it is needed to match the other tooth of the patient. The colour of the ceramic never fades.

b. Implants

This is the latest method in which a biocompatible titanium screw post is fixed inside the bone, over which we fix the crown part with ceramic . We are using the world’s best implants from nobel biocare, sweden. We can replace single tooth ,multiple tooth or complete tooth. According to the bone level, bone density, the number of implants and position of implants can be desired. .in some cases it may not be possible to replace all tooth with implants ,hence support is given by ball headed implants .since screws are fixed in the bone, this is the only replacement method.

c. Full dentures


This is the treatment in which removable prosthesis is done to replace all the tooth .
BPS dentures is one of the most advance dentures which is made in our centre.

FIXED APPLIANCE


This treatment is used to correct the position & arrangement of the tooth. There may be problems in both bone growth and teeth position, in which case it can be corrected using orthognathic surgery, trainers , functional appliance and fixed appliance. Treatment plan has to be done before treating cases usingdiagnostic xrays ,cast models and other examinations.In fixed appliance straight wire technic is world wide accepted procedure which can be done with out any side effects.this treatment can be done in any age up to 40years when their tooth and gum conditions are normal . Nowadays ceramic brackets are available in fixed appliance which is user convenient & cosmetically great.

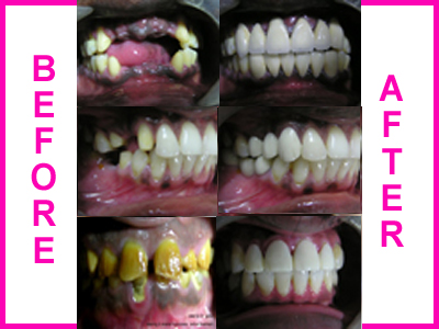
Cosmetic Dentistry


This is supposed to be our speciality in which treatment extends from tooth color filling to the great esthetic implants.


a. Tooth color filling for tooth decay with nano glass ionomer fillings



b. Tooth color nano composite filling for fracture teeth



c. Ceramic crown and bridges for tooth replacements



d. Tooth color ceramic brackets fixed appliance for correcting tooth alignment.



e. Tooth bleaching for whitening of teeth



f. Anterior space closure mid line spacing of tooth.



g.Cosmetic orthognathic surgeries: we perform surgery to correct the facial basic structures.